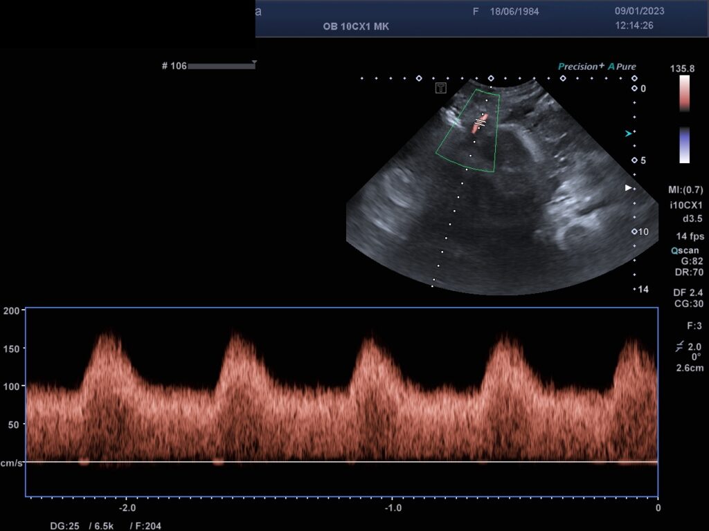
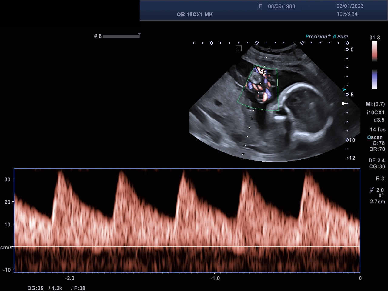
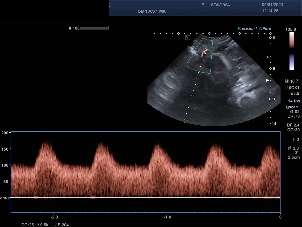
Farb-/ und Spektraldopplersonographie
Mit der Farbdopplersonographie können fetale und mütterliche Gefäße dargestellt werden und dann Spektraldopplerkurven erstellt werden, die semiquantitativ mittels Indices auswertet werden . Damit ist eine Zustandsbeurteilung des Feten als auch der Durchblutungsverhältnisse der Gebärmutterarterien der Schwangeren möglich.
Die Farb-/ und Spektraldopplersonographie ermöglicht die Zustandsbeurteilung des Feten.


